抜歯しない治療法アレーズ銀座歯科 東京都中央区銀座5丁目5-16

03-6274-5333

東京都中央区銀座5丁目5-16 銀座テーラービルディング7F

抜歯しない治療法

抜歯しない治療法(できるだけ抜かない歯科治療を目指して)

以下に抜歯の主な原因とそれに対する最新の治療法を列記致します。青文字部に関しては症例集が下部にございます。

歯重度の歯周病(歯槽膿漏)

原因

歯周病(歯槽膿漏)になると、歯の周りの歯槽骨が痩せてしまい、歯を支える事が出来なくなってしまいます。中には、進行に気付かず放置してしまったことで、歯がぐらぐらと揺れて咬めなくなる方もいらっしゃいます。この状態は、重度の歯周病と診断されます。歯周病の原因は、レッドコンプレックスと呼ばれる歯周病の原因菌が、磨き残しや定期的な歯石除去を怠ったことにより歯茎の中で繁殖し、歯を支える骨が数年かけて徐々に溶けてしまうことにあります。また、噛み合わせが悪いとその進行を助長し、急速に溶けてしまいます。基本的には一度歯周病に罹患してしまうと、失った骨は元に戻すことはできませんので、進行しないように噛み合わせを整えて、定期的な歯磨き指導や歯のクリーニングを受け続けることが最も重要です。しかし、一旦歯周病にて失った骨を再生する技術が進歩し、従来では残せなかった歯が残せるようになりました。

治療法

軽度から中等度歯周病(歯槽膿漏)の方への治療法として、歯周病になってしまった原因(噛み合わせや歯周病原因菌が形成するバイオフィルムおよび歯石)を取り除き、再生療法(GTR、エムドゲインやリグロスを用いた治療法)を行う事によって、歯槽骨を回復させる事が可能です。また、重度歯周病でも骨の欠損の形態によっては、再生療法が有効な場合があります。しかしながら、これらの治療法は薬剤を使用すれば、必ず回復するというものではありません。現在の考え方では、

⚫︎歯の動揺(揺れ)を固定する
⚫︎原因となる噛み合わせの調整を行う
⚫︎血餅の維持安定のために、切開を可能な限り小さくする(これらの薬剤は、血液中の細胞に働きかけて再生する能力を後押しするため、血餅が貯まる環境でなければ、効果が得られません。当院では、マイクロスコープ下にて、顕微鏡用の特殊なメスを使用し、切開を小さくいたします)
⚫︎原因菌が形成するバイオフィルム(細菌層のバリア)や歯石を取り残さないよう徹底的に除去する(こちらもマイクロスコープ下で行うことで精度が増します)

これらの条件が全て揃ってこそはじめて効果が得られます。
また、喫煙や糖尿病などは、再生阻害のリスクとなるため、場合によっては内科と連携して行う必要があります。

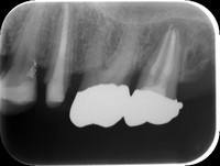
当院における歯周組織再生療法の一例
原因を取り除き、適正な処置を行うことで、白矢印部の骨が回復しているのがわかると思います。


治療費
GTR、歯周組織再生療法:
1ブロック 165,000円

エムドゲイン、リグロスによる歯周組織再生療法:
1ブロック 210,000円
(前歯部、臼歯部、上側、下側のように6ブロックに分けて)
主なリスク、副作用
外科処置となりますので、感染、炎症による疼痛、腫脹、歯肉壊死などのリスクがございます。詳しくはご相談ください。

むし歯(虫歯)

原因

虫歯が進行し根の部分だけの状態になってしまうと、歯茎のお肉が被さって来たり、被せ物を支える事が出来なくなり、抜歯の対症になってしまいます。

治療法

クラウンレングスニング(歯冠延長術)やエクストルージョン(矯正的提出術)により、7割以上の歯が保存可能となります。 クラウンレングスニングとは、歯茎のお肉が被さってしまった場合に、歯茎の形を整える処置の事です。エクストルージョンとは、矯正力により、歯を引っ張り上げ埋もれた歯が、歯茎の上に出てくる様にします。

(図説)
本症例のように、過去の治療や虫歯によって、被せ物を入れるための歯の境目の部分が、歯肉縁下(歯茎に埋もれている状態)に存在すると、綺麗な印象(型取り)が取れず、さらに歯茎に炎症を起こしやすくなります。


(図説)
このような場合には、根の部分を歯肉縁上(歯茎より境目が出るように)簡便な矯正装置を製作して、矯正用ゴムで引っ張り出します(エクストルージョン)
費用:エクストルージョン ¥66,000 
主なリスク:処置中は、磨きにくくなるため虫歯を呈する場合がございます。クリーニングを同時に受けていただく事をお勧めします。また、根管治療の状況によっては、急性化によって腫れてくる場合があります。処置後、後戻りを防ぐため、固定が必要となります。状況によってはクラウンレングスニングと併用する場合があります。


(図説)
約3ヶ月間の保定後、歯周組織が落ち着きましたら、土台となるファイバーポストの築成後、形を整え最終補綴物(被せ物)であるオールセラミックの製作を行います。これらによって、歯茎の炎症が治り、被せ物が脱離したり、被せ物の中が虫歯になりにくい環境を作ることができます。
費用:ファイーバーポスト ¥39,600 
被せ物(オールセラミック) ¥198,000 
主なリスク:ファイバーコアは、歯質に的確に接着させることができるか否かが、成功のためには必要不可欠となり、処置中に唾液の侵入を防ぐためのラバーダム防湿(ゴムマスク)の使用を許可いただく必要があります。被せ物につきましては、噛み合わせの配慮が必要となり、数ミクロンの咬合調整に時間を要する場合がございます。


治療費
クラウンレングスニング:
1ブロック 132,000円
エクストリュージョン:66,000円
主なリスク、副作用
クラウンレングスニング:
様々なリスクがございます。詳しくはご相談ください。
エクストリュージョン:
処置中は、磨きにくくなるため虫歯を呈する場合がございます。クリーニングを同時に受けていただく事をお勧めします。また、根管治療の状況によっては、急性化によって腫れてくる場合があります。処置後、後戻りを防ぐため、固定が必要となります。状況によってはクラウンレングスニングと併用する場合があります。

歯根破折(根のひび割れ)

原因

歯の根の部分に何らかの力が加わると、歯の根が割れてしまう事(歯根破折)があります。歯根破折になると、そこから感染してしますため、歯の周りの歯槽骨が吸収してしまうため、抜歯の適応となってしまいます。

治療法

破折した部分が根のどの部分まで達しているかにもよりますが、様々な診査を行い、歯科用顕微鏡のような拡大鏡を用いて、破折部分が歯根の3分の1程度の位置に留まっていれば、エクストルージョンクラウンレングスニングによって、破折していない部分を歯茎の上に出す事ができます。(歯根の長さにもよります)

治療費
クラウンレングスニング:
1ブロック 132,000円
エクストリュージョン:66,000円
主なリスク、副作用
クラウンレングスニング:
様々なリスクがございます。詳しくはご相談ください。
エクストリュージョン:
処置中は、磨きにくくなるため虫歯を呈する場合がございます。クリーニングを同時に受けていただく事をお勧めします。また、根管治療の状況によっては、急性化によって腫れてくる場合があります。処置後、後戻りを防ぐため、固定が必要となります。状況によってはクラウンレングスニングと併用する場合があります。

根尖病巣(根の先に膿みが溜まる病気)

原因

歯の神経をとってしまうと、血液が流れなくなるため神経の通っていた管の中にばい菌が繁殖し、そのばい菌を退治しようと身体の免疫力が、根の先の部分で戦います。その結果白血球などの死骸が蓄積し膿みが溜まります。この膿みは常に蓄積し続けますが、身体の抵抗力が低下すると、急性化し歯茎が腫れたり、激痛に悩まされます。

治療法

的確な根管治療を行い、神経の通っていた管の中を洗浄し細菌の繁殖出来ないお薬を詰める事により、8割方治癒させる事が可能です。当医院では、このばい菌を出来る限り見逃さない様にするために、拡大鏡を使用する場合もあります。

一般歯科TOPへ戻る

アクセス

アレーズ銀座歯科

03-6274-5333

Fax: 03-6274-5335

東京都中央区銀座5丁目5-16

銀座テーラービルディング7F